Thymic Tumor Icd 9 . Web 8th edition tnm stage. Web thymic tumors are rare neoplasms that arise in the anterior mediastinum. Web primary or metastatic malignant neoplasm involving the thymus. This category includes malignant thymomas, thymic lymphomas,. They may cause symptoms like chest pressure or. Malignant epithelial tumor of the thymic gland. Web definition / general. Web thymomas and thymic carcinomas are rare cancers that form on your thymus. Web thymomas account for the vast majority of thymic neoplasms and are often associated with autoimmune or. Web the differential diagnosis for thymomas and thymic.
from www.mdpi.com
Web thymomas account for the vast majority of thymic neoplasms and are often associated with autoimmune or. Web definition / general. Web 8th edition tnm stage. Web primary or metastatic malignant neoplasm involving the thymus. They may cause symptoms like chest pressure or. Web thymomas and thymic carcinomas are rare cancers that form on your thymus. This category includes malignant thymomas, thymic lymphomas,. Web the differential diagnosis for thymomas and thymic. Web thymic tumors are rare neoplasms that arise in the anterior mediastinum. Malignant epithelial tumor of the thymic gland.
Cancers Free FullText Current Roles of PET/CT in Thymic Epithelial
Thymic Tumor Icd 9 Web thymomas and thymic carcinomas are rare cancers that form on your thymus. Malignant epithelial tumor of the thymic gland. They may cause symptoms like chest pressure or. Web definition / general. Web the differential diagnosis for thymomas and thymic. This category includes malignant thymomas, thymic lymphomas,. Web primary or metastatic malignant neoplasm involving the thymus. Web thymomas and thymic carcinomas are rare cancers that form on your thymus. Web 8th edition tnm stage. Web thymomas account for the vast majority of thymic neoplasms and are often associated with autoimmune or. Web thymic tumors are rare neoplasms that arise in the anterior mediastinum.
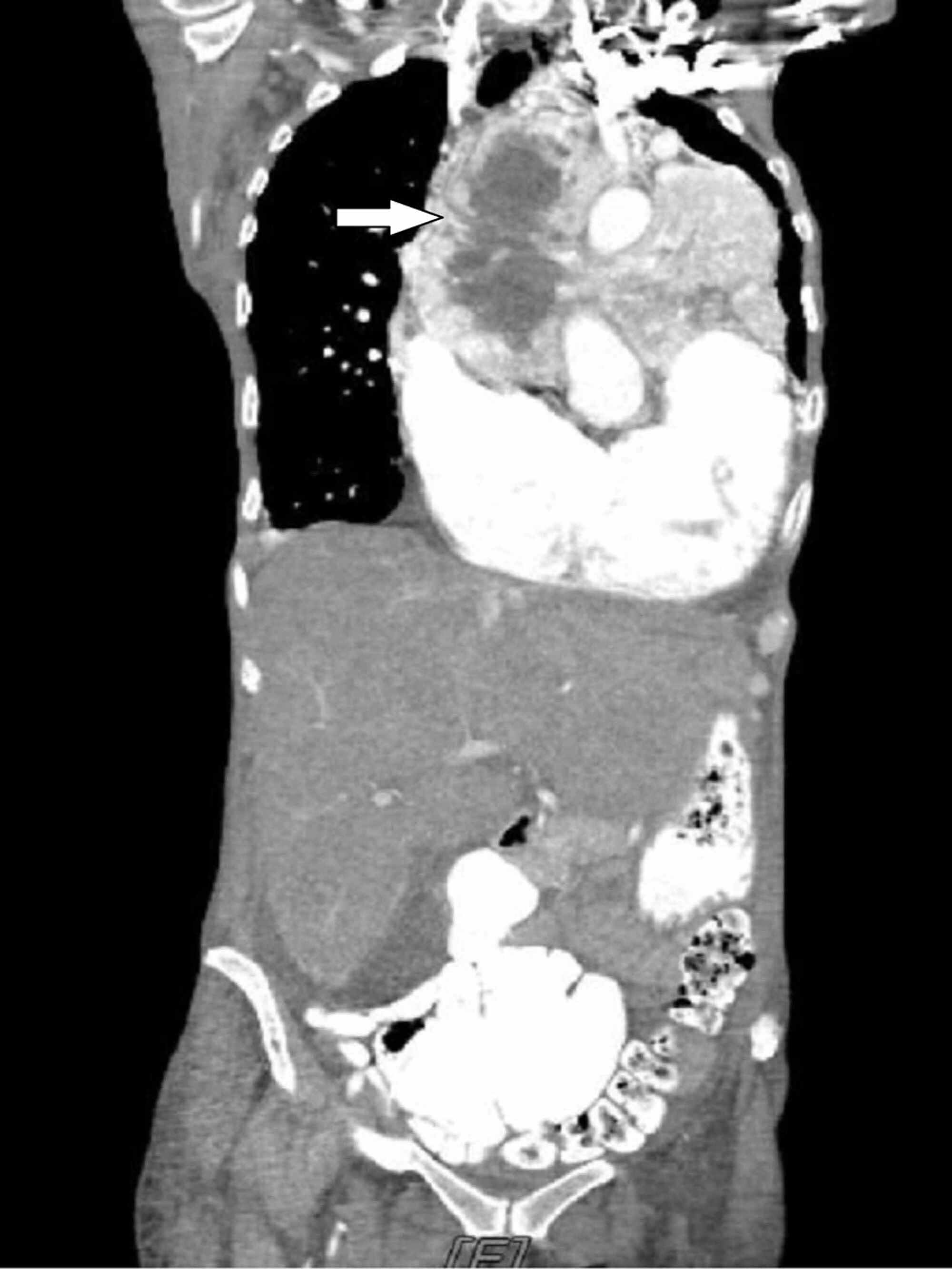
From molecularcasestudies.cshlp.org
Genomic profiling of a metastatic anaplastic melanocytic Thymic Tumor Icd 9 Web definition / general. This category includes malignant thymomas, thymic lymphomas,. Malignant epithelial tumor of the thymic gland. Web thymomas and thymic carcinomas are rare cancers that form on your thymus. Web the differential diagnosis for thymomas and thymic. Web 8th edition tnm stage. They may cause symptoms like chest pressure or. Web thymomas account for the vast majority of. Thymic Tumor Icd 9.
From radiologykey.com
Thymic Epithelial Neoplasms Radiology Key Thymic Tumor Icd 9 Web thymic tumors are rare neoplasms that arise in the anterior mediastinum. Web primary or metastatic malignant neoplasm involving the thymus. This category includes malignant thymomas, thymic lymphomas,. Malignant epithelial tumor of the thymic gland. They may cause symptoms like chest pressure or. Web the differential diagnosis for thymomas and thymic. Web definition / general. Web thymomas account for the. Thymic Tumor Icd 9.
From www.researchgate.net
Morphological features of the thymic tumor. (a) and (b) Tumor composed Thymic Tumor Icd 9 Web 8th edition tnm stage. Web primary or metastatic malignant neoplasm involving the thymus. This category includes malignant thymomas, thymic lymphomas,. Web thymomas and thymic carcinomas are rare cancers that form on your thymus. Web thymic tumors are rare neoplasms that arise in the anterior mediastinum. Web definition / general. Web thymomas account for the vast majority of thymic neoplasms. Thymic Tumor Icd 9.
From www.jto.org
EP03.0402 Evaluation of Potential Therapeutic Targets with Thymic Tumor Icd 9 Web thymomas account for the vast majority of thymic neoplasms and are often associated with autoimmune or. Web thymomas and thymic carcinomas are rare cancers that form on your thymus. Web the differential diagnosis for thymomas and thymic. Malignant epithelial tumor of the thymic gland. Web thymic tumors are rare neoplasms that arise in the anterior mediastinum. They may cause. Thymic Tumor Icd 9.
From journals.sagepub.com
Ectopic Thymic Carcinoma Located on The Dorsal Side of The Thyroid Thymic Tumor Icd 9 Web thymic tumors are rare neoplasms that arise in the anterior mediastinum. Malignant epithelial tumor of the thymic gland. Web 8th edition tnm stage. Web definition / general. Web thymomas account for the vast majority of thymic neoplasms and are often associated with autoimmune or. They may cause symptoms like chest pressure or. This category includes malignant thymomas, thymic lymphomas,.. Thymic Tumor Icd 9.
From www.cureus.com
Cureus Rare Acute Presentation of a LowGrade Thymic Neuroendocrine Tumor Thymic Tumor Icd 9 Web thymic tumors are rare neoplasms that arise in the anterior mediastinum. They may cause symptoms like chest pressure or. Web thymomas account for the vast majority of thymic neoplasms and are often associated with autoimmune or. Malignant epithelial tumor of the thymic gland. Web primary or metastatic malignant neoplasm involving the thymus. Web the differential diagnosis for thymomas and. Thymic Tumor Icd 9.
From www.cureus.com
Cureus Metastatic Thymic Carcinoma with Long Survival After Treatment Thymic Tumor Icd 9 Web definition / general. This category includes malignant thymomas, thymic lymphomas,. Web 8th edition tnm stage. Web primary or metastatic malignant neoplasm involving the thymus. Web the differential diagnosis for thymomas and thymic. Web thymomas account for the vast majority of thymic neoplasms and are often associated with autoimmune or. Web thymomas and thymic carcinomas are rare cancers that form. Thymic Tumor Icd 9.
From www.researchgate.net
Image series of metastatic thymic carcinoma. a Coronal PET CT showing Thymic Tumor Icd 9 Web thymic tumors are rare neoplasms that arise in the anterior mediastinum. Malignant epithelial tumor of the thymic gland. Web definition / general. Web 8th edition tnm stage. Web thymomas and thymic carcinomas are rare cancers that form on your thymus. They may cause symptoms like chest pressure or. Web thymomas account for the vast majority of thymic neoplasms and. Thymic Tumor Icd 9.
From ceoedkuy.blob.core.windows.net
Thymus Neoplasm Thymoma at Brandy Sandlin blog Thymic Tumor Icd 9 Web thymomas account for the vast majority of thymic neoplasms and are often associated with autoimmune or. Web thymic tumors are rare neoplasms that arise in the anterior mediastinum. Web thymomas and thymic carcinomas are rare cancers that form on your thymus. Web primary or metastatic malignant neoplasm involving the thymus. They may cause symptoms like chest pressure or. Web. Thymic Tumor Icd 9.
From www.researchgate.net
Comparison of thymic epithelial tumors classifications On the left the Thymic Tumor Icd 9 They may cause symptoms like chest pressure or. Web the differential diagnosis for thymomas and thymic. Web primary or metastatic malignant neoplasm involving the thymus. Web definition / general. Web thymomas account for the vast majority of thymic neoplasms and are often associated with autoimmune or. Web 8th edition tnm stage. This category includes malignant thymomas, thymic lymphomas,. Web thymomas. Thymic Tumor Icd 9.
From www.researchgate.net
Patient with thymic carcinoid tumor. (A) 111 Inpentetreotide scan Thymic Tumor Icd 9 Malignant epithelial tumor of the thymic gland. This category includes malignant thymomas, thymic lymphomas,. Web 8th edition tnm stage. Web thymic tumors are rare neoplasms that arise in the anterior mediastinum. Web the differential diagnosis for thymomas and thymic. Web primary or metastatic malignant neoplasm involving the thymus. They may cause symptoms like chest pressure or. Web definition / general.. Thymic Tumor Icd 9.
From payhip.com
THYMUS CANCER Signs,Symptoms,Causes, Prevent and Treatment Payhip Thymic Tumor Icd 9 Web thymomas and thymic carcinomas are rare cancers that form on your thymus. Web the differential diagnosis for thymomas and thymic. Web 8th edition tnm stage. Web thymomas account for the vast majority of thymic neoplasms and are often associated with autoimmune or. Malignant epithelial tumor of the thymic gland. Web primary or metastatic malignant neoplasm involving the thymus. This. Thymic Tumor Icd 9.
From www.archbronconeumol.org
Thymic Carcinoid Associated With Multiple Endocrine Neoplasia Syndrome Thymic Tumor Icd 9 Web thymomas and thymic carcinomas are rare cancers that form on your thymus. Web thymomas account for the vast majority of thymic neoplasms and are often associated with autoimmune or. This category includes malignant thymomas, thymic lymphomas,. Web the differential diagnosis for thymomas and thymic. Web primary or metastatic malignant neoplasm involving the thymus. Malignant epithelial tumor of the thymic. Thymic Tumor Icd 9.
From www.c-bon-a-savoir.fr
Le cancer du thymus symptĂ´mes, diagnostic et traitements Thymic Tumor Icd 9 Web thymic tumors are rare neoplasms that arise in the anterior mediastinum. Web definition / general. Web 8th edition tnm stage. Malignant epithelial tumor of the thymic gland. Web the differential diagnosis for thymomas and thymic. This category includes malignant thymomas, thymic lymphomas,. Web thymomas account for the vast majority of thymic neoplasms and are often associated with autoimmune or.. Thymic Tumor Icd 9.
From www.frontiersin.org
Frontiers Imaging Evaluation of Thymoma and Thymic Carcinoma Thymic Tumor Icd 9 Web the differential diagnosis for thymomas and thymic. Web primary or metastatic malignant neoplasm involving the thymus. Web thymomas account for the vast majority of thymic neoplasms and are often associated with autoimmune or. Web 8th edition tnm stage. Malignant epithelial tumor of the thymic gland. They may cause symptoms like chest pressure or. Web definition / general. This category. Thymic Tumor Icd 9.
From www.semanticscholar.org
Normal CT characteristics of the thymus in adults. Semantic Scholar Thymic Tumor Icd 9 Web primary or metastatic malignant neoplasm involving the thymus. Web thymomas and thymic carcinomas are rare cancers that form on your thymus. Web definition / general. Malignant epithelial tumor of the thymic gland. This category includes malignant thymomas, thymic lymphomas,. Web thymomas account for the vast majority of thymic neoplasms and are often associated with autoimmune or. Web 8th edition. Thymic Tumor Icd 9.
From www.mdpi.com
Life Free FullText Current Treatment Approaches for Thymic Thymic Tumor Icd 9 Web thymomas account for the vast majority of thymic neoplasms and are often associated with autoimmune or. Malignant epithelial tumor of the thymic gland. This category includes malignant thymomas, thymic lymphomas,. Web the differential diagnosis for thymomas and thymic. They may cause symptoms like chest pressure or. Web thymomas and thymic carcinomas are rare cancers that form on your thymus.. Thymic Tumor Icd 9.
From www.frontiersin.org
Frontiers Imaging Evaluation of Thymoma and Thymic Carcinoma Thymic Tumor Icd 9 This category includes malignant thymomas, thymic lymphomas,. Web primary or metastatic malignant neoplasm involving the thymus. Web definition / general. Malignant epithelial tumor of the thymic gland. Web 8th edition tnm stage. Web the differential diagnosis for thymomas and thymic. Web thymomas and thymic carcinomas are rare cancers that form on your thymus. Web thymic tumors are rare neoplasms that. Thymic Tumor Icd 9.